Skip Navigation
Skip to contents

Restor Dent Endod : Restorative Dentistry & Endodontics

OPEN ACCESS

Articles

Page Path
HOME > Restor Dent Endod > Volume 37(2); 2012 > Article
Case Report Vital tooth with periapical lesion: spontaneous healing after conservative treatment
Hyun-Joo Kim, DDS, Seung-Jong Lee, DDS, PhD, Il-Young Jung, DDS, PhD, Sung-Ho Park, DDS, PhD
2012;37(2):-126.
DOI: https://doi.org/10.5395/rde.2012.37.2.123
Published online: May 18, 2012

Department of Conservative Dentistry, Yonsei University College of Dentistry, Seoul, Korea.

Correspondence to Sung-Ho Park, DDS, PhD. Professor, Department of Conservative Dentistry, Yonsei University College of Dentistry, 134 Shinchon-dong, Seodaemun-gu, Seoul, Korea 120-752. TEL, +82-2-2228-3147; FAX, +82-2-313-7575; sunghopark@yuhs.ac
• Received: December 27, 2011   • Revised: March 5, 2012   • Accepted: April 6, 2012

©Copyights 2012. The Korean Academy of Conservative Dentistry.

  • 2,669 Views
  • 34 Download
prev next
  • It is often presumed that apical periodontitis follows total pulp necrosis, and consequently root canal treatment is commonly performed. Periapical lesion development is usually caused by bacteria and its byproduct which irritate pulp, develop pulpitis, and result in necrosis through an irreversible process. Afterwards, apical periodontitis occurs. This phenomenon is observed as an apical radiolucency in radiographic view. However, this unusual case presents a spontaneous healing of periapical lesion, which has developed without pulp necrosis in a vital tooth, through conservative treatment.

No potential conflict of interest relevant to this article was reported.

  • 1. Kim IS, Kim SG, Kim YK, Kim JD. Position of the mental foramen in a Korean population: a clinical and radiographic study. Implant Dent. 2006;15: 404-411.ArticlePubMed
  • 2. Resnick CM, Novelline RA. Cemento-osseous dysplasia, a radiological mimic of periapical dental abscess. Emerg Radiol. 2008;15: 367-374.ArticlePubMedPDF
  • 3. Romanos GE, Froum S, Costa-Martins S, Meitner S, Tarnow DP. Implant periapical lesions: etiology and treatment options. J Oral Implantol. 2011;37: 53-63.ArticlePubMedPDF
  • 4. Kovacević M, Tamarut T, Jonjić N, Braut A. The transition from pulpitis to periapical periodontitis in dogs' teeth. Aust Endod J. 2008;34: 12-18.ArticlePubMed
  • 5. Khayat BG, Byers MR, Taylor PE, Mecifi K, Kimberly CL. Responses of nerve fibers to pulpal inflammation and periapical lesions in rat molars demonstrated by calcitonin gene-related peptide immunocytochemistry. J Endod. 1988;14: 577-587.ArticlePubMed
  • 6. Byers MR, Taylor PE, Khayat BG, Kimberly CL. Effects of injury and inflammation on pulpal and periapical nerves. J Endod. 1990;16: 78-84.ArticlePubMed
  • 7. Caviedes-Bucheli J, Muñoz HR, Azuero-Holguín MM, Ulate E. Neuropeptides in dental pulp: the silent protagonists. J Endod. 2008;34: 773-788.ArticlePubMed
  • 8. Stashenko P, Teles R, D'Souza R. Periapical inflammatory responses and their modulation. Crit Rev Oral Biol Med. 1998;9: 498-521.ArticlePubMedPDF
Figure 1
Preoperative periapical view and clinical photograph. (a) Periapical radiolucency on #35; (b) Cervical abrasion.
rde-37-123-g001.jpg
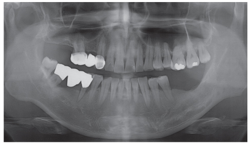
Figure 2
Preoperative panorama view. Periapical radiolucency was observed at the apex of mandibular left second premolar.
rde-37-123-g002.jpg
Figure 3
Periapical view taken 2 years ago.
rde-37-123-g003.jpg
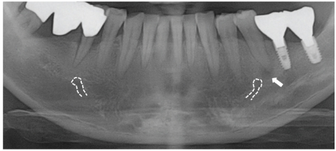
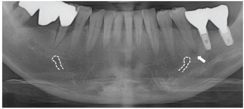
Figure 4
Location of mental foramens (dotted line) and periapical radiolucency (arrow).
rde-37-123-g004.jpg
Figure 5
Periapical view and clinical photograph after class V Resin filling.
rde-37-123-g005.jpg
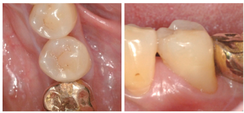
Figure 6
Three-month follow up. (a) Periapical view. Distal proximal caries was detected; (b) Photograph taken after class II resin filling.
rde-37-123-g006.jpg
Figure 7
Six-month follow up. Periapical view.
rde-37-123-g007.jpg
Figure 8
Nine-month follow up. Periapical view.
rde-37-123-g008.jpg
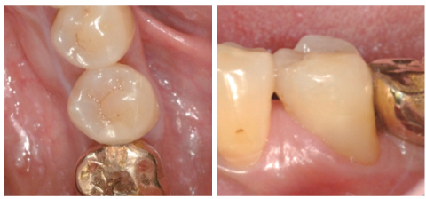
Figure 9
Fourteen-month follow up. Clinical photographs.
rde-37-123-g009.jpg
Figure 10
Fourteen-month follow up. Horizontal shift periapical view.
rde-37-123-g010.jpg
Figure 11
One year before implant surgery: Note that the posterior area of mandibular left segment was edentulous.
rde-37-123-g011.jpg

Tables & Figures

REFERENCES

    Citations

    Citations to this article as recorded by  

      • ePub LinkePub Link
      • Cite
        CITE
        export Copy Download
        Close
        Download Citation
        Download a citation file in RIS format that can be imported by all major citation management software, including EndNote, ProCite, RefWorks, and Reference Manager.

        Format:
        • RIS — For EndNote, ProCite, RefWorks, and most other reference management software
        • BibTeX — For JabRef, BibDesk, and other BibTeX-specific software
        Include:
        • Citation for the content below
        Vital tooth with periapical lesion: spontaneous healing after conservative treatment
        Restor Dent Endod. 2012;37(2):123-126.   Published online May 18, 2012
        Close
      • XML DownloadXML Download
      Figure
      • 0
      • 1
      • 2
      • 3
      • 4
      • 5
      • 6
      • 7
      • 8
      • 9
      • 10
      Vital tooth with periapical lesion: spontaneous healing after conservative treatment
      Image Image Image Image Image Image Image Image Image Image Image
      Figure 1 Preoperative periapical view and clinical photograph. (a) Periapical radiolucency on #35; (b) Cervical abrasion.
      Figure 2 Preoperative panorama view. Periapical radiolucency was observed at the apex of mandibular left second premolar.
      Figure 3 Periapical view taken 2 years ago.
      Figure 4 Location of mental foramens (dotted line) and periapical radiolucency (arrow).
      Figure 5 Periapical view and clinical photograph after class V Resin filling.
      Figure 6 Three-month follow up. (a) Periapical view. Distal proximal caries was detected; (b) Photograph taken after class II resin filling.
      Figure 7 Six-month follow up. Periapical view.
      Figure 8 Nine-month follow up. Periapical view.
      Figure 9 Fourteen-month follow up. Clinical photographs.
      Figure 10 Fourteen-month follow up. Horizontal shift periapical view.
      Figure 11 One year before implant surgery: Note that the posterior area of mandibular left segment was edentulous.
      Vital tooth with periapical lesion: spontaneous healing after conservative treatment

      Restor Dent Endod : Restorative Dentistry & Endodontics
      Close layer
      TOP