Skip Navigation
Skip to contents

Restor Dent Endod : Restorative Dentistry & Endodontics

OPEN ACCESS

Articles

Page Path
HOME > Restor Dent Endod > Volume 51(1); 2026 > Article
Research Article Effect of combined application of premixed bioceramic paste and diode laser in vital pulp therapy: an immunohistochemical randomized controlled split-mouth in vivo animal experiment
Mo’men A. Salama1,*orcid, Dalia M. Fayyad1orcid, Mohamed I. Rabie1orcid, Manar A. A. Selim2orcid, Mahmoud F. Ahmed3,4orcid
Restor Dent Endod 2026;51(1):e4.
DOI: https://doi.org/10.5395/rde.2026.51.e4
Published online: January 20, 2026

1Department of Endodontics, Faculty of Dentistry, Suez Canal University, Ismailia, Egypt

2Department of Oral Biology, Faculty of Dentistry, Suez Canal University, Ismailia, Egypt

3Department of Surgery, Anesthesiology and Radiology, Faculty of Veterinary Medicine, Suez Canal University, Ismailia, Egypt

4Department of Surgery and Theriogenology, Faculty of Veterinary Medicine, King Salman International University, Ras Sudr, Egypt

*Correspondence to Mo’men A. Salama, PhD Department of Endodontics, Faculty of Dentistry, Suez Canal University, 4.5 Km Ring Road, Ismailia 41522, Egypt Email: momen_salama@dent.suez.edu.eg

Citation: Salama MA, Fayyad DM, Rabie MI, Selim MAA, Ahmed MF. Effect of combined application of premixed bioceramic paste and diode laser in vital pulp therapy: an immunohistochemical randomized controlled split-mouth in vivo animal experiment. Restor Dent Endod 2026;51(1):e4.

• Received: August 17, 2025   • Revised: October 11, 2025   • Accepted: October 14, 2025

© 2026 The Korean Academy of Conservative Dentistry

This is an Open-Access article distributed under the terms of the Creative Commons Attribution Non-Commercial License (http://creativecommons.org/licenses/by-nc/4.0) which permits unrestricted non-commercial use, distribution, and reproduction in any medium, provided the original work is properly cited.

  • 1,143 Views
  • 75 Download
prev next
  • Objectives
    This study aimed to evaluate the effect of premixed bioceramic paste (Well-Root PT; Vericom) compared to mineral trioxide aggregate (MTA) on the expression of the mineralization-related marker dentin sialoprotein (DSP) in dental pulp following direct pulp capping, with or without prior diode laser application.
  • Methods
    Direct pulp exposures were performed in the upper and lower incisors of eight dogs (n = 96 teeth). Cavities (Class V) were created and received pulp capping with either Well-Root PT (n = 32), MTA (n = 32), or no capping material (polytetrafluoroethylene disc only) (n = 32), with or without the application of a diode laser. Immunohistochemical analysis of DSP expression was conducted and quantified as the mean area percentage using ImageJ software at 2 and 8 weeks posttreatment.
  • Results
    Both the Well-Root PT and MTA groups showed significantly increased DSP expression compared to the control group at both 2 and 8 weeks (p < 0.05). No significant difference in the mean area percentage of DSP expression was found between the Well-Root PT and MTA groups. The diode laser application did not produce a significant effect on DSP expression. Within-group comparison revealed a significant increase in DSP expression between the 2- and 8-week follow-up periods (p < 0.05).
  • Conclusions
    Well-Root PT demonstrated comparable efficacy to MTA in promoting DSP expression, supporting its use as an effective direct pulp capping material. Diode laser application prior to capping had no effect on DSP expression in this experimental model.
Preserving pulp vitality is a core component of modern minimally invasive dentistry, boosted by advancements in biomaterials and an enhanced comprehension of pulp biology [1,2]. These advancements have instigated a paradigm change from traditional root canal treatment to more conservative approaches aimed at conserving pulp tissue where clinically feasible [3,4]. Direct pulp capping (DPC) is a crucial procedure of vital pulp therapies for addressing pulp exposures resulting from trauma or caries, especially when the pulp is healthy or shows only reversible inflammation [5]. The principal objective of DPC is to preserve the vitality and functionality of the dental pulp by efficiently sealing the exposure site and facilitating reparative dentinogenesis, particularly through the development of a protective dentin bridge [6,7].
Emerging evidence from comparative investigations highlights the advantages of premixed bioceramic materials, such as Well-Root PT (Vericom, Chuncheon, Korea), over traditional calcium hydroxide formulations for DPC [8]. The premixed bioceramic material, Well-Root PT, is composed of calcium aluminosilicate, zirconium oxide, tantalum oxide, calcium phosphate monobasic, and various fillers [9]. This material’s unique composition enhances biocompatibility, minimizes cytotoxicity, and provides superior sealing properties upon application [9]. The inherent high alkalinity of Well-Root PT creates a favorable microenvironment conducive to pulp healing while simultaneously inhibiting bacterial ingress. Furthermore, Well-Root PT provides clinical performance analogous to mineral trioxide aggregate (MTA) but improved handling characteristics, positioning it as a dependable alternative for both pulp capping procedures and broader regenerative endodontic applications [8,10].
The incorporation of low-level laser therapy (LLLT) alongside DPC represents a notable progression in minimally invasive endodontics, utilizing photobiomodulation to improve dental pulp tissue regeneration [11]. LLLT, with a typical power range of 10–500 mW [12], primarily acts through the absorption of light by mitochondrial photoreceptors, particularly cytochrome C oxidase in the electron transport chain [13]. This absorption leads to a short-term activation of the respiratory chain, enhancing oxidative phosphorylation and increasing adenosine triphosphate production. This process alters the redox state of mitochondria and the cytoplasm, affecting cellular redox mechanisms. The generation of reactive oxygen species at controlled levels acts as signaling molecules to activate various molecular pathways and transcription factors, which promote cellular proliferation, differentiation, and reduced inflammation [13,14]. It has demonstrated efficacy in pain reduction, enhancement of wound healing, the promotion of bone repair and remodeling, assistance in pulp regeneration, and stimulation of angiogenesis [5,14,15]. It improves reparative dentinogenesis by stimulating odontoblast activity and promoting dental pulp stem cell differentiation [16]. Furthermore, LLLT improves dentin matrix structure and mineralization by upregulating the production of structural proteins, such as dentin sialo phosphoprotein (DSPP) [14]. This process promotes the formation of a thicker, more uniform dentin bridge, which enhances long-term sealing efficiency and reduces the possibility of microleakage [17].
The most prevalent non-collagenous protein present in the dentin matrix is dentin sialoprotein (DSP). It regulates dentinogenesis and biomineralization [18]. Furthermore, DSP regulates transcriptional activity and intracellular signaling cascades. These regulatory roles regulate the differentiation of dental pulp stem/progenitor cells, which support both physiological homeostasis and the reparative/regenerative ability of dental tissues [19].
Although both LLLT and advanced bioceramics such as Well-Root PT have individually demonstrated significant therapeutic potential, their combined effects in DPC remain insufficiently explored. Moreover, the available evidence is limited regarding their comparative influence on dentinogenesis-related markers, particularly DSP.
Therefore, this study hypothesized that Well-Root PT would promote pulpal healing and upregulate dentinogenesis-related markers compared to the gold-standard material, White MTA Angelus, and that adjunctive use of LLLT would further enhance this effect. Accordingly, the study aimed to evaluate the pulpal response to DPC using Well-Root PT, with and without adjunctive LLLT, and to compare its efficacy with Angelus MTA through immunohistochemical analysis of DSP expression as a key marker of odontoblastic activity and dentin matrix formation.
Experimental design
The study was performed at the Department of Surgery, Anesthesiology and Radiology, Faculty of Veterinary Medicine, Suez Canal University. The protocol was approved by the Research Ethics Committee of the Faculty of Dentistry, Suez Canal University (approval No. 529/2022), in accordance with ethical standards and regulations for animal research, and in compliance with the ARRIVE (Animal Research: Reporting of In Vivo Experiments) guidelines. The study was carried out as a randomized, controlled, experimental trial. Eight mature Mongrel dogs were used in this study with intact dentition. The dogs aged between 19 ± 3 months and weighed (15.4 ± 3.2 kg). Dogs were kept for 2 weeks at the animal house before the study for close observation and acclimatization. Sample size was calculated based on prior research [17,20]. Sample size estimation was performed using G*Power version 3.1.9.2 (Heinrich Heine University Düsseldorf, Düsseldorf, Germany) [21], with a significance level (α) of 0.05 and a power (1–β) of 0.80. Adjustments were made to account for potential specimen loss and the clustered (split-mouth) design, resulting in a final allocation of 96 teeth (32 teeth per material group; 16 per subgroup), thereby ensuring adequate statistical power.
The incisor teeth were randomly evaluated by three independent observers who were blinded to the material and technique used. Only the allocator (M.A.S) was aware of the group assignments, which corresponded to the different capping materials. Using a split-mouth design, the teeth were randomly allocated to one of three groups according to a computer-generated random sequence (Microsoft Excel RAND function) prepared by an investigator independent of the surgical procedures. For each dog, the 12 incisors were allocated so that each group (Well-Root PT, MTA, and control) was represented by four teeth per dog. Within each group, two teeth were assigned to the LLLT subgroup and two to the non-LLLT subgroup. The dogs were randomly assigned to be euthanized at either 2 weeks (dogs 1–4) or 8 weeks (dogs 5–8), ensuring equal numbers for each period (Table 1).
Pulp exposure and direct pulp capping
The dogs received premedication consisting of an intramuscular injection of 0.5 mg/kg body weight Xylazine (Xyla-Ject; Adwia Pharmaceuticals, 10th of Ramadan City, Egypt), 1 mg/kg nalbuphine HCl (Nalufin; Amoun Pharmaceutical Company, Al Qalyubia, Egypt), and 0.04 mg/kg atropine sulfate (Memphis Pharmaceutical, Cairo, Egypt). The dogs then received an intravenous injection of propofol (Diprivan; AstraZeneca, Macclesfield, UK) at a dosage of 2 mg/kg; general anesthesia was maintained with a combination of 2% isoflurane (IsoFlo; Zoetis Inc.,Parsippany, NJ, USA) and oxygen [22]. Standard Class V cavities were induced in each incisor as previously described [23].
Briefly, rubber dam isolation was applied to each jaw separately to allow endotracheal intubation. A high-speed air turbine handpiece with copious water coolant and a sterile round diamond bur was used to prepare a standardized cavity. A sterile round carbide bur (No. 1) in a high-speed handpiece was then used to create a standardized mechanical pulp exposure approximately 1.0 mm in diameter. Hemostasis was achieved using sterile saline irrigation and gentle pressure with sterile cotton pellets; only sites where bleeding was controlled within 5 minutes were included for capping. In the control group, the exposed pulp sites were capped with Teflon discs made from sterilized polytetrafluoroethylene sheets (Chemours, Wilmington, DE, USA), without the use of any capping material. The pulp exposure sites in the MTA group were sealed with White MTA (Angelus, Londrina, Brazil), prepared according to the manufacturer’s instructions to a creamy consistency and applied using an MTA applicator. In the Well-Root PT group, the exposed pulps were capped with premixed bioceramic putty (Well-Root PT; Vericom Co., Ltd., Chuncheon, Korea), applied directly from the syringe/putty carrier according to the manufacturer’s instructions.
For the LLLT subgroups, a diode laser (Liposuction Smart, 810 nm wavelength; Lasotronix, Piaseczno, Poland) was used in continuous wave mode at a low power setting of 20 mW. The laser was hand-held and positioned approximately 2 mm from the exposed pulp by the operator. Laser irradiation was applied for 150 seconds, with a spot size of approximately 0.2 cm², delivering an energy dose of 15 J/cm². Following laser application and placement of the respective capping material or Teflon disc, all cavities were restored using a light-cured glass ionomer cement (GC Fuji II; GC Corp., Tokyo, Japan). Dogs received a daily injection of meloxicam (Mobitil; MUP, Cairo, Egypt) at a dose of 0.2 mg/kg for 3 consecutive days.
Immunohistochemical analysis
After 2 weeks, four dogs were euthanized, and the remaining four were euthanized after 8 weeks, following the previously described protocol [24]. The teeth along with the surrounding tissues were block-sectioned and fixed in 10% buffered formalin. Subsequently, the specimens were decalcified in 17% ethylenediaminetetraacetic acid (EDTA) over a period of 6 months and embedded in paraffin. Using a microtome, paraffin-embedded tissues were sectioned in the buccolingual direction into slices 4–6 µm thick.
To assess the expression of the mineralization-related marker DSP, the tissue sections were deparaffinized in xylene, rehydrated through a graded alcohol series, and incubated with an endogenous peroxidase blocker for 10 minutes. After washing with Tris-buffered saline, sections were incubated with a primary anti-DSP antibody (polyclonal anti-osteopontin; Biospes, Chongqing, China) at 4°C for 1 hour. This was followed by the application of the biotin-streptavidin peroxidase complex. Hematoxylin was used for counterstaining. Negative controls consisted of untreated pulp samples, while positive controls involved replacing the primary DSP antibody with 1% bovine serum albumin. Histological evaluation was performed using Leica Qwin 500 image analysis software (Leica Microsystems, Wetzlar, Germany). The extent of DSP staining in the newly formed hard tissue was quantified as the stained area per 10 fields at 100× magnification, using a standardized measuring frame and visualized under light microscopy on a monitor [17]. All immunohistochemical evaluations were performed by three independent, blinded evaluators. The slides were coded to ensure that the evaluators were unaware of the material and laser subgroup allocations. Immunostaining-positive areas were quantified using Fiji (ImageJ version 1) [25]. The mean area percentages of the positively stained regions were calculated within a defined region of interest. Threshold adjustment was applied to distinguish positive staining from the background, and the obtained mean area percentage values were used for statistical comparison among groups to ensure consistency and accuracy.
Statistical analysis
The collected data were analyzed using the statistical software package IBM SPSS ver. 26.0 (IBM Corp., Armonk, NY, USA). The data were assessed for normality using the Shapiro-Wilk test. Descriptive statistics were then calculated, including the mean and standard deviation. To compare outcomes among the different study groups, a one-way analysis of variance (ANOVA) was performed. When the ANOVA revealed statistically significant differences, Bonferroni post hoc tests were conducted. For comparisons of results at different time points within the same group, the unpaired sample t-test was used. Statistical significance was defined as p < 0.05.
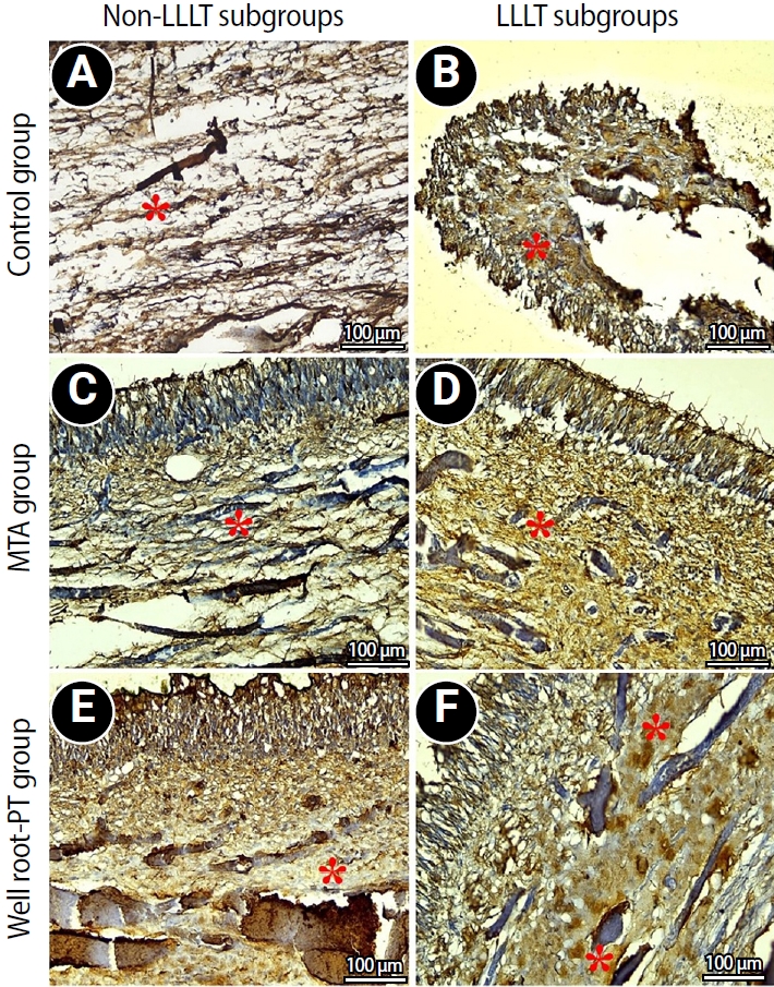
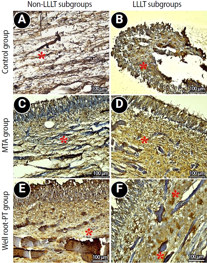
Quantitative analysis was performed using the mean area percentage of DSP expression. The DSP expression was evaluated in the pulp tissue at two time points: 2 weeks and 8 weeks. In both the control and MTA groups without LLLT, relatively low mean area percentages for DSP were observed in different parts of the pulp, such as odontoblasts, fibroblasts, collagen fibers, ground substance, and blood vessel walls after 2 weeks. In contrast, the Well-Root PT subgroup exhibited a higher mean area percentage of DSP at the same time point (Figure 1A, C, and E). After 8 weeks, the control subgroup without LLLT maintained low area percentage values, while the MTA subgroup displayed a moderate increase. The Well-Root PT subgroup demonstrated a more pronounced response, with the highest mean area percentage observed in staining (Figure 2A, C, and E).
In the LLLT control subgroup, a slight increase in the mean area percentage was observed at 2 weeks (Figure 1B), with a more pronounced increase by the 8-week time point (Figure 2B). However, both the MTA and Well-Root PT subgroups with LLLT showed higher mean percentages (Figure 1D and F), with a further increase at 8 weeks (Figure 2D and F).
Statistical analysis of the mean area percentage between the study groups and between the indicated time points within the same group was performed. There were significant variations in DSP expression between the non-LLLT and LLLT subgroups within the three groups (p < 0.001). However, post hoc testing did not reveal any significant differences between the non-LLLT MTA and Well-Root PT subgroups, nor between the MTA and Well-Root PT subgroups after the LLLT, at either the 2-week or 8-week time points (Table 2).
At the 2-week evaluation, the highest mean area percentage of DSP expression was observed in the LLLT Well-Root PT subgroup, followed by the non-LLLT Well-Root PT, the LLLT MTA, and the non-LLLT MTA subgroups. The control group exhibited the lowest levels. By the 8-week time point, a similar trend persisted; however, the LLLT MTA subgroup showed a slightly higher mean value than the non-LLLT Well-Root PT subgroup. In intragroup comparisons, all subgroups showed a statistically significant increase in DSP mean area percentage from 2 to 8 weeks (p < 0.001), indicating a general time-dependent increase regardless of treatment. However, despite differences in mean values, no significant differences were observed between the LLLT and non-LLLT subgroups at either time point in the same group (Table 3). These findings supported the conclusion that the various capping materials significantly influenced the DSP expression signals.
In this study, the quality of the dentin bridge formed following DPC was evaluated using immunohistochemical analysis to assess the expression of DSP, a reliable marker of odontoblastic activity within the pulp tissue. The efficacy of Well-Root PT and MTA was compared to determine their respective performance. Additionally, the potential role of LLLT in enhancing DSP expression and promoting pulp tissue regeneration was also investigated.
Dogs were selected as the animal model for this study due to their close anatomical and physiological resemblance to human teeth [26]. Their similar pulp-to-dentin ratio and overall tooth structure make them well-suited for investigating pulp responses and dentin bridge formation [27]. Moreover, the healing patterns and tissue reactions in dogs closely mirror those in humans, enhancing the clinical relevance and translational value of the study’s findings [28]. However, it should be noted that healing in dogs occurs more rapidly than in humans. This limitation should be taken into account when extrapolating the findings to clinical scenarios.
In this study, Well-Root PT was compared with MTA as a contemporary bioactive material for DPC. Well-Root PT offers a shorter setting time, which may help reduce operator variability and improve clinical efficiency. However, despite its favorable handling and physical properties, research on its biocompatibility and bioactivity remains limited [8,29], highlighting the importance of evaluating its performance against the well-established MTA. Meanwhile, LLLT was used for its ability to promote rapid hemostasis, sterilize the pulp surface, and reduce inflammation [30,31]. In addition, it supports tissue regeneration and aids in dentin bridge formation. It is also compatible with common pulp capping materials, potentially enhancing their effectiveness [20].
In this study, DSP expression was evaluated at two time points: 2 weeks, to assess the early healing response, including odontoblast differentiation and initial dentin formation [32]. Furthermore, the 8-week period was used to examine long-term outcomes such as reparative dentin bridge formation, reduced inflammation, and maintained pulp vitality. These time points are appropriate for evaluating the effectiveness of pulp capping materials [17,33]. However, the present study cannot fully confirm the long-term formation of a reparative dentin bridge.
Immunohistochemical analysis conducted at both 2 weeks and 8 weeks revealed that the highest mean values of DSP expression were observed in the subgroups treated with MTA and Well-Root PT, with or without adjunctive LLLT. In contrast, the control subgroups, which received only a Teflon barrier without any bioactive material, exhibited the lowest levels of DSP expression. The increased DSP expression observed with MTA and Well-Root PT is attributed to their bioactive properties, which promote odontoblast differentiation and reparative dentin formation. These materials release calcium ions that form hydroxyapatite-like crystals, fostering a favorable environment for pulp healing [1,34]. They also upregulate growth factors like bone morphogenetic protein-2 and transforming growth factor-beta and create an alkaline pH that reduces inflammation, further enhancing odontoblastic activity and DSP synthesis [35,36]. The findings of this study are in agreement with the results reported by Chae et al. [8], who demonstrated that despite releasing fewer calcium ions compared to MTA, Well-Root PT exhibited comparable bioactivity, as evidenced by hard tissue formation and DSP expression.
The study found no significant difference in DSP expression between the LLLT and non-LLLT groups, suggesting that the diode laser, under the applied parameters, did not enhance DSP expression beyond the effect of the capping materials alone. Similarly, Martín et al. [37] reported that diode laser activation during dentin conditioning resulted in lower expression levels of odontoblast-related markers such as DSPP and DMP-1 compared with EDTA alone, supporting the notion that diode laser irradiation may not significantly enhance DSP expression or odontoblastic differentiation. Additionally, the laser settings used may not have been optimal for influencing odontoblastic activity. On the other hand, Alharbi et al. [17] reported that the application of LLLT prior to DPC enhanced the expression of other markers, such as RUNX2 and osteocalcin. This discrepancy may be attributed to differences in the biomarkers assessed, as DSP is specifically associated with odontoblastic differentiation, whereas RUNX2 and osteocalcin are more broadly related to early osteogenic activity. Additionally, variations in LLLT parameters—such as energy settings, number of applications, and exposure duration—could contribute to the inconsistent outcomes across studies. In contrast, Deng et al. [38] attributed this effect to the coagulative and hemostatic properties of the LLLT, which may reduce tissue moisture and potentially interfere with the optimal setting reaction, as it relies on a moist environment for proper hardening.
A notable observation was that at 8 weeks, the LLLT MTA subgroup showed a slightly higher mean DSP expression than the non-LLLT Well-Root PT subgroup. Although not statistically significant, this finding may indicate that the stimulatory effects of LLLT on odontoblastic activity and dentin matrix protein expression were not transient but persisted over time. Future research with extended follow-up periods and varied laser protocols could help clarify the potential synergistic role of LLLT.
Statistically significant differences in DSP expression were also observed between the two evaluation time points within each subgroup. These findings align with Alharbi et al. [17], who reported significant changes in marker expression between early and late follow-up periods in pulp tissues treated with different capping materials, indicating progressive healing and maturation. This temporal variation likely reflects the dynamic nature of the pulp healing process, which begins with an initial inflammatory response followed by progressive reparative events [39]. The increased DSP expression observed at later stages may indicate ongoing odontoblast differentiation and dentin matrix deposition [40]. Additionally, biological variability among the animals, including differences in immune responses and healing capacities, may have contributed to the observed differences between the time points. Finally, the findings of this study support the bioactive potential of both MTA and Well-Root PT in promoting odontoblastic activity and DSP expression.
The limitations of this study include the indirect evaluation of reparative dentin bridges due to insufficient histological clarity; and the use of only a single LLLT wavelength and protocol, which may not capture its full therapeutic potential. Future studies should employ varied laser parameters, longer follow-up periods, and additional odontoblast-specific markers to better elucidate LLLT’s role in vital pulp therapy.
Well-Root PT may serve as a viable alternative to MTA for DPC procedures, demonstrating comparable biological performance in promoting DSP expression and pulp healing. LLLT did not significantly influence the outcomes observed in this study. Therefore, the choice of suitable biocompatible capping material appears to play a more critical role in the success of DPC than the use of LLLT. Further studies are required to explore the optimization of LLLT parameters and their potential synergistic effects with various capping materials.

CONFLICT OF INTEREST

No potential conflict of interest relevant to this article was reported.

FUNDING/SUPPORT

The authors have no financial relationships relevant to this article to disclose.

ACKNOWLEDGEMENTS

The authors acknowledge Dr. Saad L. Saad, Faculty of Veterinary Medicine, Suez Canal University, for being technically supportive during the in vivo studies.

AUTHOR CONTRIBUTIONS

Conceptualization, Formal analysis, Investigation, Project administration, Supervision, Validation: all authors. Data curation: Salama MA, Fayyad DM, Ahmed MF. Methodology, Software: Salama MA, Ahmed MF. Resources: Salama MA, Fayyad DM, Rabie MI, Ahmed MF. Visualization: Salama MA. Writing - original draft: all authors. Writing - review & editing: all authors. All authors read and approved the final manu­script.

DATA SHARING STATEMENT

The datasets are not publicly available but are available from the corresponding author upon reasonable request.

Figure 1.
Representative microscopic images showing immunohistochemical staining of dentin sialoprotein in pulp tissue (*) after 2 weeks. (A, B) Showing diffuse expression in the control group, with (A) non-LLLT subgroup demonstrating staining of collagen fibers, and (B) LLLT subgroup showing staining of both collagen fibers and the cytoplasm of odontoblasts. (C, D) Showing expression in the MTA group, with (C) non-LLLT subgroup demonstrating patchy staining in collagen fibers and diffuse cytoplasmic staining in odontoblasts, and (D) LLLT subgroup showing extensive staining in both collagen fibers and odontoblasts. (E, F) Showing expression in the Well-Root PT group, with (E) non-LLLT subgroup demonstrating patchy staining in collagen fibers and diffuse staining in odontoblasts, and (F) LLLT subgroup showing similar expression patterns. LLLT, low-level laser therapy; MTA, mineral trioxide aggregate; Well-Root PT: Vericom, Chuncheon, Korea.
rde-2026-51-e4f1.jpg
Figure 2.
Representative microscopic images showing immunohistochemical staining of dentin sialoprotein in pulp tissue (*) after 8 weeks. (A, B) Showing expression in the control group, with (A) non-LLLT subgroup demonstrating patchy expression in collagen fibers and patchy expression in odontoblasts, and (B) LLLT subgroup demonstrating diffuse expression in collagen fibers and in the cytoplasm of odontoblasts. (C, D) Showing expression in the MTA group, with (C) non-LLLT subgroup demonstrating patchy expression in both collagen fibers and odontoblasts, and (D) LLLT subgroup showing patchy expression in collagen fibers, diffuse cytoplasmic expression, and some nuclear expression in odontoblasts. (E, F) Showing expression in the Well-Root PT group, with (E) non-LLLT subgroup demonstrating patchy expression in collagen fibers and diffuse cytoplasmic expression in odontoblasts, and (F) LLLT subgroup demonstrating patchy expression in collagen fibers and diffuse cytoplasmic and nuclear expression in odontoblasts. LLLT, low-level laser therapy; MTA, mineral trioxide aggregate; Well-Root PT: Vericom, Chuncheon, Korea.
rde-2026-51-e4f2.jpg
Table 1.
Number of teeth assigned to each experimental subgroup at 2 and 8 weeks
Group Subgroup 2 weeks 8 weeks
Control (n = 32) Non-LLLT 8 8
LLLT 8 8
MTA (n = 32) Non-LLLT 8 8
LLLT 8 8
Well-Root PT (n =3 2) Non-LLLT 8 8
LLLT 8 8

LLLT, low-level laser therapy; MTA, mineral trioxide aggregate. Well-Root PT: Vericom, Chuncheon, Korea.

Table 2.
Descriptive statistics of the intragroup comparison of DSP immunoexpression area percentage between 2 and 8 weeks
Group Subgroup DSP immunoexpression area (%) Unpaired t-test p-value
2 weeks 8 weeks
Control Non-LLLT 17.00b ± 0.68 19.12b ± 1.95 –10.88 <0.001***
LLLT 18.84b ± 1.90 20.22b ± 2.48 –17.41 <0.001***
MTA Non-LLLT 27.15a ± 1.51 38.38a ± 2.25 –36.16 <0.001***
LLLT 28.96a ± 1.21 40.08a ± 1.32 –45.15 <0.001***
Well-Root PT Non-LLLT 29.85a ± 2.30 39.12a ± 3.24 –71.08 <0.001***
LLLT 29.96a ± 2.26 41.40a ± 1.96 –25.76 <0.001***
F-test 33.46 62.90
p-value <0.001*** <0.001***

Values are presented as mean ± standard deviation.

DSP, dentin sialoprotein; LLLT, low-level laser therapy; MTA, mineral trioxide aggregate. Well-Root PT: Vericom, Chuncheon, Korea.

Within the subgroups, different letters indicate a significant difference (p < 0.05).

***p < 0.001, significant difference at the same subgroup point.

Table 3.
Descriptive statistics of the intergroup comparison of DSP immunoexpression area percentage
Group Subgroup DSP immunoexpression area (%) F-test p-value
Control Non-LLLT 2.12b ± 1.68 11.76 0.0003**
LLLT 1.38b ± 0.73
MTA Non-LLLT 11.22a ± 2.91
LLLT 11.12a ± 2.22
Well-Root PT Non-LLLT 9.27a ± 1.18
LLLT 11.44a ± 4.00

Values are presented as mean ± standard deviation.

DSP, dentin sialoprotein; LLLT, low-level laser therapy; MTA, mineral trioxide aggregate. Well-Root PT: Vericom, Chuncheon, Korea.

Within the subgroups, different letters indicate a significant difference (p < 0.05).

**p < 0.001, significant difference.

  • 1. Desai PK, Hiwalkar SM, Kim HJ, Shin J, Lee HS, Jun HW, et al. Innovations in bioactive materials for dental pulp vitality preservation in children and adolescents. Appl Sci 2025;15:4699.Article
  • 2. Rajasekar V, Abdalla MM, Huang M, Neelakantan P, Yiu CK. Next-generation biomaterials for vital pulp therapy: exploring biological properties and dentin regeneration mechanisms. Bioengineering (Basel) 2025;12:248.ArticlePubMedPMC
  • 3. Hanna SN, Perez Alfayate R, Prichard J. Vital pulp therapy an insight over the available literature and future expectations. Eur Endod J 2020;5:46-53.ArticlePubMedPMC
  • 4. Silva EJ, De-Deus G, Souza EM, Belladonna FG, Cavalcante DM, Simões-Carvalho M, et al. Present status and future directions: minimal endodontic access cavities. Int Endod J 2022;55 Suppl 3:531-587.ArticlePubMedPDF
  • 5. Prasertsuksom N, Osiri S, Jaruchotiratanasakul N, Ongchavalit L. Treatment outcomes and prognostic factors of direct pulp capping in permanent teeth: a systematic review and meta-analysis. Eur Endod J 2024;9:295-307.ArticlePubMedPMC
  • 6. Galler KM, Weber M, Korkmaz Y, Widbiller M, Feuerer M. Inflammatory response mechanisms of the dentine-pulp complex and the periapical tissues. Int J Mol Sci 2021;22:1480.ArticlePubMedPMC
  • 7. Islam R, Islam MR, Tanaka T, Alam MK, Ahmed HM, Sano H. Direct pulp capping procedures: evidence and practice. Jpn Dent Sci Rev 2023;59:48-61.ArticlePubMedPMC
  • 8. Chae YK, Ye JR, Nam OH. Evaluation of biocompatibility and bioactive potential of Well-Root PT by comparison with ProRoot MTA and Biodentine. J Dent Sci 2024;19:2218-2225.ArticlePubMedPMC
  • 9. Ghaly MS, Abozena NI, Ghouraba RF, Kabbash IA, El-Desouky SS. Clinical and radiographic evaluation of premixed bioceramic putty as an apical plug in nonvital immature anterior permanent teeth. Sci Rep 2025;15:26487.ArticlePubMedPMCPDF
  • 10. Ashi T, Mancino D, Hardan L, Bourgi R, Zghal J, Macaluso V, et al. Physicochemical and antibacterial properties of bioactive retrograde filling materials. Bioengineering (Basel) 2022;9:624.ArticlePubMedPMC
  • 11. Yong J, Gröger S, Wu Z, Ruf S, Ye Y, Chen X. Photobiomodulation therapy and pulp-regenerative endodontics: a narrative review. Bioengineering (Basel) 2023;10:371.ArticlePubMedPMC
  • 12. Cotler HB, Chow RT, Hamblin MR, Carroll J. The use of Low Level Laser Therapy (LLLT) for musculoskeletal pain. MOJ Orthop Rheumatol 2015;2:00068.ArticlePubMedPMC
  • 13. Karoussis IK, Kyriakidou K, Psarros C, Koutsilieris M, Vrotsos JA. Effects and action mechanism of low level laser therapy (LLLT): applications in periodontology. Dentistry 2018;8:1000514.Article
  • 14. Rezaei F, Shakoori S, Fazlyab M, Esnaashari E, Savadkouhi ST. Effect of low-level laser on proliferation, angiogenic and dentinogenic differentiation of human dental pulp stem cells. BMC Oral Health 2025;25:441.ArticlePubMedPMCPDF
  • 15. Fazlyab M, Esmaeili Shahmirzadi S, Esnaashari E, Azizi A, Moshari AA. Effect of low-level laser therapy on postoperative pain after single-visit root canal retreatment of mandibular molars: a randomized controlled clinical trial. Int Endod J 2021;54:2006-2015.ArticlePubMedPDF
  • 16. Borzabadi-Farahani A. Effect of low-level laser irradiation on proliferation of human dental mesenchymal stem cells: a systemic review. J Photochem Photobiol B 2016;162:577-582.ArticlePubMed
  • 17. Alharbi H, Khalil W, Alsofi L, Binmadi N, Elnahas A. The effect of low-level laser on the quality of dentin barrier after capping with bioceramic material: a histomorphometric analysis. Aust Endod J 2023;49:27-37.ArticlePDF
  • 18. Goldberg M, Kulkarni AB, Young M, Boskey A. Dentin: structure, composition and mineralization. Front Biosci (Elite Ed) 2011;3:711-735.ArticlePubMedPMC
  • 19. Suzuki S, Haruyama N, Nishimura F, Kulkarni AB. Dentin sialophosphoprotein and dentin matrix protein-1: two highly phosphorylated proteins in mineralized tissues. Arch Oral Biol 2012;57:1165-1175.ArticlePubMedPMC
  • 20. Bidar M, Moushekhian S, Gharechahi M, Talati A, Ahrari F, Bojarpour M. The effect of low level laser therapy on direct pulp capping in dogs. J Lasers Med Sci 2016;7:177-183.ArticlePubMedPMC
  • 21. Faul F, Erdfelder E, Lang AG, Buchner A. G*Power 3: a flexible statistical power analysis program for the social, behavioral, and biomedical sciences. Behav Res Methods 2007;39:175-191.ArticlePubMedPDF
  • 22. Clarke KW, Trim CM, Hall LW. Anaesthesia of the dog. In: Clarke KW, Trim CM, Hall LW, editors. Veterinary anaesthesia. 11th ed. Saunders; 2014. p. 405-498.
  • 23. Emara RA, Abu-Seida AM, El Ashry SH. Histological evaluation of the synergistic effect of chitosan and mineral trioxide aggregate on mechanically exposed dental pulp following pulp capping in dogs’ teeth. Saudi Endod J 2022;12:25-30.Article
  • 24. Close B, Banister K, Baumans V, Bernoth EM, Bromage N, Bunyan J, et al. Recommendations for euthanasia of experimental animals: part 2. DGXT of the European Commission. Lab Anim 1997;31:1-32.ArticlePubMedPDF
  • 25. Schindelin J, Arganda-Carreras I, Frise E, Kaynig V, Longair M, Pietzsch T, et al. Fiji: an open-source platform for biological-image analysis. Nat Methods 2012;9:676-682.ArticlePubMedPDF
  • 26. Nokhbatolfoghahaei H, Paknejad Z, Bohlouli M, Rezai Rad M, Khojasteh A. Animal models in dental research. In: Tayebi L, editor. Applications of biomedical engineering in dentistry. Cham: Springer; 2020. p. 377-442.
  • 27. Safy RK, Ragab MH, Abdel-Maksoud HB. Histopathological evaluation of human placental extract as a direct pulp-capping material in dogs’ teeth. Eur J Dent 2025;19:144-153.ArticlePubMed
  • 28. Soliman HA, El-Toukhy RI, Ibrahim MM, Grawish ME, Kader Sobh MA, Mahmoud SH. Impact of corticosteroid administration on the response of exposed dental pulp to capping with bioactive cements: experimental study on mongrel dogs. BMC Oral Health 2023;23:423.ArticlePubMedPMCPDF
  • 29. Alfahlawy A, Selim MA, Hassan HY. Biocompatibility of three different root canal sealers, experimental study. BMC Oral Health 2023;23:715.ArticlePubMedPMCPDF
  • 30. Afkhami F, Rostami G, Xu C, Walsh LJ, Peters OA. The application of lasers in vital pulp therapy: a review of histological effects. Lasers Med Sci 2023;38:215.ArticlePubMedPMCPDF
  • 31. Yazdanfar I, Gutknecht N, Franzen R. Effects of diode laser on direct pulp capping treatment: a pilot study. Lasers Med Sci 2015;30:1237-1243.ArticlePubMedPDF
  • 32. Pan H, Yang Y, Xu H, Jin A, Huang X, Gao X, et al. The odontoblastic differentiation of dental mesenchymal stem cells: molecular regulation mechanism and related genetic syndromes. Front Cell Dev Biol 2023;11:1174579.ArticlePubMedPMC
  • 33. Hemdan DK, Selim MA, Galhom RA, El Daharawy MH, Hassan HY. Effects of autologous dental pulp stem cells and mineral trioxide aggregate on exposed dogs’ dental pulp. J Oral Biol Craniofac Res 2022;12:293-298.ArticlePubMedPMC
  • 34. Okiji T, Yoshiba K. Reparative dentinogenesis induced by mineral trioxide aggregate: a review from the biological and physicochemical points of view. Int J Dent 2009;2009:464280.ArticlePubMedPMCPDF
  • 35. Mutar MT, Mahdee AF. Different pulp capping agents and their effect on pulp inflammatory response: a narrative review. Saudi Dent J 2024;36:1295-1306.ArticlePubMedPMC
  • 36. Okabe T, Sakamoto M, Takeuchi H, Matsushima K. Effects of pH on mineralization ability of human dental pulp cells. J Endod 2006;32:198-201.ArticlePubMed
  • 37. Martín G, Preve V, Hargreaves K, Diogenes A, Inostroza C, Saint-Jean N, et al. Effect of dentin conditioning with EDTA and diode lasers on expression of odontoblast-like cell markers of dental pulp stem cells. Dent J (Basel) 2023;11:210.ArticlePubMedPMC
  • 38. Deng Y, Zhu X, Zheng D, Yan P, Jiang H. Laser use in direct pulp capping: a meta-analysis. J Am Dent Assoc 2016;147:935-942.ArticlePubMed
  • 39. Simon S, Smith AJ, Lumley PJ, Cooper PR, Berdal A. The pulp healing process: from generation to regeneration. Endod Top 2012;26:41-56.Article
  • 40. Quispe-Salcedo A, Ida-Yonemochi H, Nakatomi M, Ohshima H. Expression patterns of nestin and dentin sialoprotein during dentinogenesis in mice. Biomed Res 2012;33:119-132.ArticlePubMed

Tables & Figures

REFERENCES

    Citations

    Citations to this article as recorded by  

      • ePub LinkePub Link
      • Cite
        CITE
        export Copy Download
        Close
        Download Citation
        Download a citation file in RIS format that can be imported by all major citation management software, including EndNote, ProCite, RefWorks, and Reference Manager.

        Format:
        • RIS — For EndNote, ProCite, RefWorks, and most other reference management software
        • BibTeX — For JabRef, BibDesk, and other BibTeX-specific software
        Include:
        • Citation for the content below
        Effect of combined application of premixed bioceramic paste and diode laser in vital pulp therapy: an immunohistochemical randomized controlled split-mouth in vivo animal experiment
        Restor Dent Endod. 2026;51(1):e4  Published online January 20, 2026
        Close
      • XML DownloadXML Download
      Figure
      • 0
      • 1
      Effect of combined application of premixed bioceramic paste and diode laser in vital pulp therapy: an immunohistochemical randomized controlled split-mouth in vivo animal experiment
      Image Image
      Figure 1. Representative microscopic images showing immunohistochemical staining of dentin sialoprotein in pulp tissue (*) after 2 weeks. (A, B) Showing diffuse expression in the control group, with (A) non-LLLT subgroup demonstrating staining of collagen fibers, and (B) LLLT subgroup showing staining of both collagen fibers and the cytoplasm of odontoblasts. (C, D) Showing expression in the MTA group, with (C) non-LLLT subgroup demonstrating patchy staining in collagen fibers and diffuse cytoplasmic staining in odontoblasts, and (D) LLLT subgroup showing extensive staining in both collagen fibers and odontoblasts. (E, F) Showing expression in the Well-Root PT group, with (E) non-LLLT subgroup demonstrating patchy staining in collagen fibers and diffuse staining in odontoblasts, and (F) LLLT subgroup showing similar expression patterns. LLLT, low-level laser therapy; MTA, mineral trioxide aggregate; Well-Root PT: Vericom, Chuncheon, Korea.
      Figure 2. Representative microscopic images showing immunohistochemical staining of dentin sialoprotein in pulp tissue (*) after 8 weeks. (A, B) Showing expression in the control group, with (A) non-LLLT subgroup demonstrating patchy expression in collagen fibers and patchy expression in odontoblasts, and (B) LLLT subgroup demonstrating diffuse expression in collagen fibers and in the cytoplasm of odontoblasts. (C, D) Showing expression in the MTA group, with (C) non-LLLT subgroup demonstrating patchy expression in both collagen fibers and odontoblasts, and (D) LLLT subgroup showing patchy expression in collagen fibers, diffuse cytoplasmic expression, and some nuclear expression in odontoblasts. (E, F) Showing expression in the Well-Root PT group, with (E) non-LLLT subgroup demonstrating patchy expression in collagen fibers and diffuse cytoplasmic expression in odontoblasts, and (F) LLLT subgroup demonstrating patchy expression in collagen fibers and diffuse cytoplasmic and nuclear expression in odontoblasts. LLLT, low-level laser therapy; MTA, mineral trioxide aggregate; Well-Root PT: Vericom, Chuncheon, Korea.
      Effect of combined application of premixed bioceramic paste and diode laser in vital pulp therapy: an immunohistochemical randomized controlled split-mouth in vivo animal experiment
      Group Subgroup 2 weeks 8 weeks
      Control (n = 32) Non-LLLT 8 8
      LLLT 8 8
      MTA (n = 32) Non-LLLT 8 8
      LLLT 8 8
      Well-Root PT (n =3 2) Non-LLLT 8 8
      LLLT 8 8
      Group Subgroup DSP immunoexpression area (%) Unpaired t-test p-value
      2 weeks 8 weeks
      Control Non-LLLT 17.00b ± 0.68 19.12b ± 1.95 –10.88 <0.001***
      LLLT 18.84b ± 1.90 20.22b ± 2.48 –17.41 <0.001***
      MTA Non-LLLT 27.15a ± 1.51 38.38a ± 2.25 –36.16 <0.001***
      LLLT 28.96a ± 1.21 40.08a ± 1.32 –45.15 <0.001***
      Well-Root PT Non-LLLT 29.85a ± 2.30 39.12a ± 3.24 –71.08 <0.001***
      LLLT 29.96a ± 2.26 41.40a ± 1.96 –25.76 <0.001***
      F-test 33.46 62.90
      p-value <0.001*** <0.001***
      Group Subgroup DSP immunoexpression area (%) F-test p-value
      Control Non-LLLT 2.12b ± 1.68 11.76 0.0003**
      LLLT 1.38b ± 0.73
      MTA Non-LLLT 11.22a ± 2.91
      LLLT 11.12a ± 2.22
      Well-Root PT Non-LLLT 9.27a ± 1.18
      LLLT 11.44a ± 4.00
      Table 1. Number of teeth assigned to each experimental subgroup at 2 and 8 weeks

      LLLT, low-level laser therapy; MTA, mineral trioxide aggregate. Well-Root PT: Vericom, Chuncheon, Korea.

      Table 2. Descriptive statistics of the intragroup comparison of DSP immunoexpression area percentage between 2 and 8 weeks

      Values are presented as mean ± standard deviation.

      DSP, dentin sialoprotein; LLLT, low-level laser therapy; MTA, mineral trioxide aggregate. Well-Root PT: Vericom, Chuncheon, Korea.

      Within the subgroups, different letters indicate a significant difference (p < 0.05).

      p < 0.001, significant difference at the same subgroup point.

      Table 3. Descriptive statistics of the intergroup comparison of DSP immunoexpression area percentage

      Values are presented as mean ± standard deviation.

      DSP, dentin sialoprotein; LLLT, low-level laser therapy; MTA, mineral trioxide aggregate. Well-Root PT: Vericom, Chuncheon, Korea.

      Within the subgroups, different letters indicate a significant difference (p < 0.05).

      p < 0.001, significant difference.


      Restor Dent Endod : Restorative Dentistry & Endodontics
      Close layer
      TOP