Department of Conservative Dentistry, College of Dentisty, Pusan National University, Korea.
Copyright © 2004 Korean Academy of Conservative Dentistry
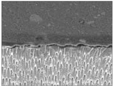
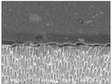
Materials
Bonding procedures
Microtensile bond strength(MTBS; Unit: MPa, Mean ± SD)
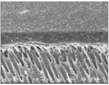
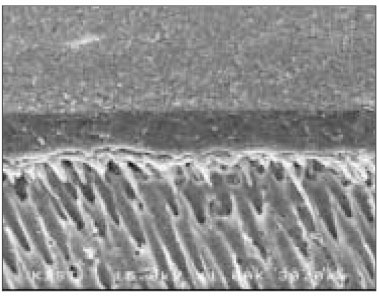
Failure mode
Type A : adhesive failure between bonding resin and dentin
Type B : mixed failure (above 50% adhesive failure)
Type C : mixed failure (below 50% adhesive failure)
Type D : cohesive failure in resin
Type E : cohesive failure in dentin
Type A : adhesive failure between bonding resin and dentin Type B : mixed failure (above 50% adhesive failure) Type C : mixed failure (below 50% adhesive failure) Type D : cohesive failure in resin Type E : cohesive failure in dentin
