Skip Navigation
Skip to contents

Restor Dent Endod : Restorative Dentistry & Endodontics

OPEN ACCESS

Articles

Page Path
HOME > Restor Dent Endod > Volume 36(2); 2011 > Article
Case Report Partial pulp necrosis caused by excessive orthodontic force
Min-Young Kim, DDS, Seung-Jong Lee, DDS, PhD, Il-Young Jung, DDS, PhD, Euiseong Kim, DDS, PhD
2011;36(2):-153.
DOI: https://doi.org/10.5395/JKACD.2011.36.2.149
Published online: March 31, 2011

Department of Conservative Dentistry, Yonsei University College of Dentistry, Microscope Center, Seoul, Korea.

Correspondence to Euiseong Kim, DDS, MSD, PhD. Professor, Department of Conservative Dentistry, Yonsei University College of Dentistry, 250 Seongsanno, Seodaemun-gu, Seoul, Korea 120-752. TEL,+82-2-2228-8701; FAX,+82-2-313-7575; andyendo@yuhs.ac
• Received: January 3, 2011   • Revised: January 10, 2011   • Accepted: January 10, 2011

Copyright © 2011 Korean Academy of Conservative Dentistry

  • 2,149 Views
  • 40 Download
prev next
  • As the dental pulp is encased with a rigid, noncompliant shell, changes in pulpal blood flow or vascular tissue pressure can have serious implication for the health of pulp. Numerous studies have demonstrated that orthodontic force application may influence both blood flow and cellular metabolism, leading degenerative and/or inflammatory responses in the dental pulp. The aim of this case report is to present a case about tooth with chronic periapical abscess which showed normal vital responses. Excessive orthodontic force is thought to be the prime cause of partial pulp necrosis. Owing to remaining vital tissue, wrong dianosis can be made, and tooth falsely diagnosed as vital may be left untreated, causing the necrotic tissue to destroy the supporting tissuses. Clinician should be able to utilize various diagnostic tools for the precise diagnosis, and be aware of the endodontic-orthodontic inter-relationship.
  • 1. Nair PN. Pathogenesis of apical periodontitis and the causes of endodontic failures. Crit Rev Oral Biol Med. 2004;15: 348-381.PubMed
  • 2. Peters DD, Baumgartner JC, Lorton L. Adult pulpal diagnosis. I. Evaluation of the positive and negative responses to cold and electrical pulp tests. J Endod. 1994;20: 506-511.ArticlePubMed
  • 3. Rowe AH, Pitt Ford TR. The assessment of pulpal vitality. Int Endod J. 1990;23: 77-83.ArticlePubMed
  • 4. Küçükkeleş N, Okar I. Root resorption and pulpal changes due to intrusive force. J Marmara Univ Dent Fac. 1994;2: 404-408.PubMed
  • 5. Sano Y, Ikawa M, Sugawara J, Horiuchi H, Mitani H. The effect of continuous intrusive force on human pulpal blood flow. Eur J Orthod. 2002;24: 159-166.ArticlePubMed
  • 6. Konno Y, Daimaruya T, Iikubo M, Kanzaki R, Takahashi I, Sugawara J, Sasano T. Morphologic and hemodynamic analysis of dental pulp in dogs after molar intrusion with the skeletal anchorage system. Am J Orthod Dentofacial Orthop. 2007;132: 199-207.ArticlePubMed
  • 7. Ramazanzadeh BA, Sahhafian AA, Mohtasham N, Hassanzadeh N, Jahanbin A, Shakeri MT. Histological changes in human dental pulp following application of intrusive and extrusive orthodontic forces. J Oral Sci. 2009;51: 109-115.ArticlePubMed
  • 8. Tschamer H. Histology of dental pulp after activator treatment of late cases in adolescents. Zahnarztl Prax. 1974;25: 530-531.PubMed
  • 9. Hamilton RS, Gutmann JL. Endodontic-orthodontic relationships: a review of integrated treatment planning challenges. Int Endod J. 1999;32: 343-360.ArticlePubMed
  • 10. Hamersky PA, Weimer AD, Taintor JF. The effect of orthodontic force application on the pulpal tissue respiration rate in the human premolar. Am J Orthod. 1980;77: 368-378.ArticlePubMed
  • 11. Grossman LI. Origin of microorganisms in traumatized, pulpless, sound teeth. J Dent Res. 1967;46: 551-553.ArticlePubMedPDF
Figure 1
Pre-operative clinical photo.
jkacd-36-149-g001.jpg
Figure 2
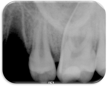
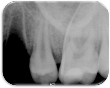
Pre-operative periapical x-ray.
jkacd-36-149-g002.jpg
Figure 3
Pre-operative conebeam CT image. CT, computed tomograph.
jkacd-36-149-g003.jpg
Figure 4
Pre-operative conebeam CT image. CT, computed tomograph.
jkacd-36-149-g004.jpg
Figure 5
Cavity after IRM removal. IRM, intermediate restorative material.
jkacd-36-149-g005.jpg
Figure 6
Pulp chamber immediate after access opening.
jkacd-36-149-g006.jpg
Figure 7
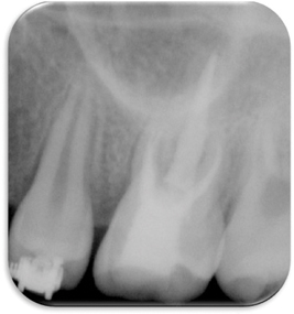
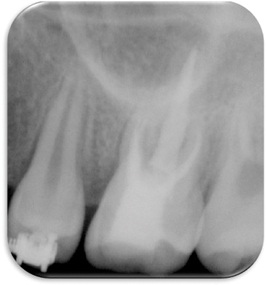
Periapical x-ray after canal filling.
jkacd-36-149-g007.jpg
Figure 8
6 month follow up-periapical x-ray.
jkacd-36-149-g008.jpg
Figure 9
6 month follow up-conebeam CT image. CT, computed tomograph.
jkacd-36-149-g009.jpg

Tables & Figures

REFERENCES

    Citations

    Citations to this article as recorded by  

      • ePub LinkePub Link
      • Cite
        CITE
        export Copy Download
        Close
        Download Citation
        Download a citation file in RIS format that can be imported by all major citation management software, including EndNote, ProCite, RefWorks, and Reference Manager.

        Format:
        • RIS — For EndNote, ProCite, RefWorks, and most other reference management software
        • BibTeX — For JabRef, BibDesk, and other BibTeX-specific software
        Include:
        • Citation for the content below
        Partial pulp necrosis caused by excessive orthodontic force
        J Korean Acad Conserv Dent. 2011;36(2):149-153.   Published online March 31, 2011
        Close
      • XML DownloadXML Download
      Figure
      • 0
      • 1
      • 2
      • 3
      • 4
      • 5
      • 6
      • 7
      • 8
      Partial pulp necrosis caused by excessive orthodontic force
      Image Image Image Image Image Image Image Image Image
      Figure 1 Pre-operative clinical photo.
      Figure 2 Pre-operative periapical x-ray.
      Figure 3 Pre-operative conebeam CT image. CT, computed tomograph.
      Figure 4 Pre-operative conebeam CT image. CT, computed tomograph.
      Figure 5 Cavity after IRM removal. IRM, intermediate restorative material.
      Figure 6 Pulp chamber immediate after access opening.
      Figure 7 Periapical x-ray after canal filling.
      Figure 8 6 month follow up-periapical x-ray.
      Figure 9 6 month follow up-conebeam CT image. CT, computed tomograph.
      Partial pulp necrosis caused by excessive orthodontic force

      Restor Dent Endod : Restorative Dentistry & Endodontics
      Close layer
      TOP