Department of Conservative Dentistry, College of Dentistry, Wonkwang University, Korea.
Copyright © 2002 Korean Academy of Conservative Dentistry
Special potency disk test on ATCC type strains
*R indicates resistant; S indicates sensitive
Special potency disk test on clinical isolates
*R indicates resistant; S indicates sensitive
Filter paper spot test on ATCC type strains
+, 90 to 100% of strains positive; -, 90 to 100% of strains negative
Filter paper spot test on clinical isolates
+, positive reaction observable after 15 min; -, No reaction detected after 15 min
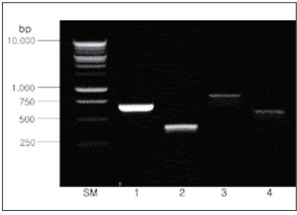
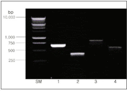
Number of strains clinical isolates identified using PCR
*: total number of strains identified by PCR
Number of strains clinical isolates identified using RapidID 32A
*: total number of strains identified by PCR
*R indicates resistant; S indicates sensitive
*R indicates resistant; S indicates sensitive
+, 90 to 100% of strains positive; -, 90 to 100% of strains negative
+, positive reaction observable after 15 min; -, No reaction detected after 15 min
*: total number of strains identified by PCR
*: total number of strains identified by PCR
